Periodontics
Periodontics
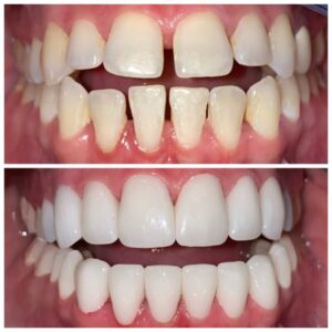
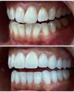
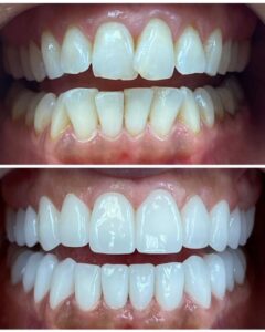
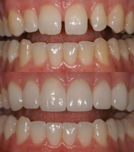
Periodontics is a dental specialty that focuses on the prevention, diagnosis, and treatment of diseases and conditions that affect the gums and supporting structures around the teeth.
Periodontal treatments
- Scaling and root planning
- Gum graft
- Laser treatment
- Regenerative procedure
- Dental crown lengthening
What Our Patients Say.
5 Stars On Google Review
Very Good clinic with the best prothodontist .... he's my mother's full denture done which was the best ... thank a lot doctor.... 👍
Take the first step toward a healthier, brighter smile.
Schedule your visit at Blossom Dental Care today!
Because your smile deserves to be a masterpiece.
Follow us on







